Dnevni.ba - PRELOADER

ZNANOST

Znanstvenici otkrili: Ljudi naglo stare u dva životna razdoblja

Starenje se često doživljava kao spor i postupan proces, no znanstvena istraživanja pokazuju da t...

14 Velj 2026

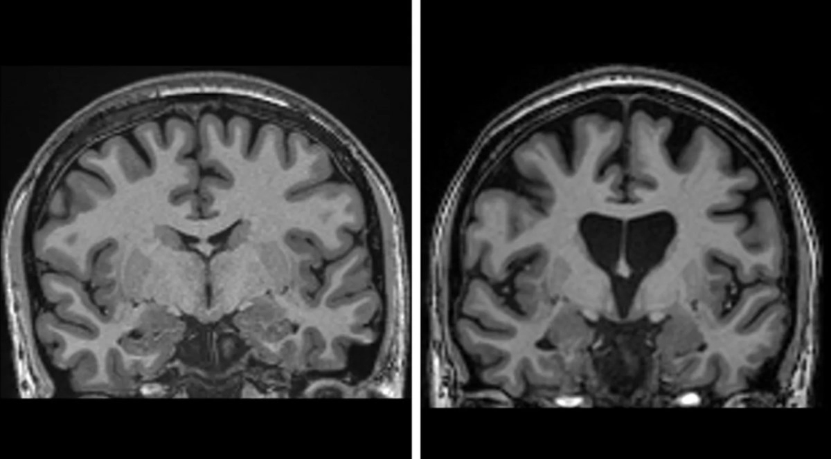
Nova studija: Krvni biomarkeri otkrivaju Parkinsonovu bolest prije simptoma

Znanstvenici u Norveškoj i Švedskoj napravili su mogući iskorak u testovima krvi za otkrivanje Pa...

13 Velj 2026

Geni imaju veći utjecaj na duljinu života nego što se mislilo

AKO SE ZANEMARI rizik od prerane smrti uslijed nesreće ili ozljede, geni bi mogli imati znatno ve...

03 Velj 2026

Stručnjak objašnjava koliko je pretjerana komunikacija s umjetnom inteligencijom opasna

Sve češće korištenje generativne umjetne inteligencije u svakodnevnom životu brine ...

18 Sij 2026

PARACETAMOL

Znanost protiv Trumpa: "Paracetamol u trudnoći ne povećava rizik od autizma"

Uzimanje  paracetamola tijekom trudnoće je sigurno i nema dokaza da povećava rizik od autizma, A...

17 Sij 2026

"LUCIFER" PČELA

U Australiji pronađena "Lucifer" pčela

Australski  znanstvenici otkrili su novu vrstu autohtone pčele s malenim rogovima, kojoj su dali...

11 Stu 2025

Napredni test krvi za više od 50 vrsta raka pokazao obećavajuće rezultate

Test krvi koji otkriva više od 50 vrsta raka, uključujući teško dijagnosticirane po...

18 Lis 2025

Stručnjak za AI: Nitko ne zna što nas čeka, čak ni vodeće tvrtke

Ethan Mollick, jedan od vodećih stručnjaka za generativnu umjetnu inteligenciju, tvrdi da se poja...

08 Lis 2025

Revolucionarni uspjeh liječnika: "Imamo tretman za jednu od najstrašnijih bolesti"

U REVOLUCIONARNOM kliničkom ispitivanju, liječnici su po prvi put uspjeli uspješno liječit...

24 Ruj 2025